Exame Informática
Exame Informática

‘Tesoura de raios-X’ ajuda a perceber se explosão nuclear pode desviar asteroides

Uma explosão nuclear poderia alterar a rota de um asteroide e salvar a humanidade de um cenário de colisão? Uma equipa de investigadores nos Estados Unidos acredita que sim e desenvolveu um novo método, com uma ‘tesoura de raios-X’, que permite testar a teoria em laboratório

Está preparado para espreitar o Instagram dos médicos? 13 Exame Informática
Exame Informática

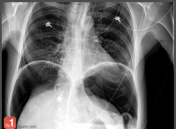
UE aprova sistema de Inteligência Artificial para análise autónoma de radiografias

A União Europeia deu luz verde ao sistema ChestLink, que usa um algoritmo inteligente para leitura e análise de radiografias, sem ser necessária a intervenção de um radiologista humano

Exame Informática
Exame Informática

Inteligência Artificial, raios-X e impressora 3D revelam obra escondida de Picasso

Investigadores da Universidade de Londres usaram várias tecnologias para detetar uma obra ‘escondida’ num quadro de Pablo Picasso e trouxeram-na de volta à vida

Google Exame Informática
Exame Informática

Novo sistema da Google pode ajudar a analisar raios-X

O sistema de machine learning ajuda na análise, prioriza as radiografias de tórax e pode ainda servir como resposta em ambientes de emergência

Exame Informática
Exame Informática

Já há Raios-X a 3D e a cores e as imagens são... perturbadoras

Uma empresa neozelandesa anunciou a primeira máquina capaz de fazer Raios-X 3D a cores. A tecnologia é originária do CERN